1. 결핵이란 무엇인가?



결핵은 Mycobacterium tuberculosis라는 세균에 의해 발생하는 만성 감염병으로, 주로 폐에 감염되지만 다른 장기(뇌, 척추, 신장 등)에도 영향을 줄 수 있습니다. 인류 역사상 오랫동안 존재해온 질병 중 하나이며, 오늘날에도 여전히 세계적으로 중요한 공중보건 문제로 남아 있습니다.
2. 결핵 원인과 전파 경로
(1) 원인균
① 결핵균은 항산균이라 불리는 미생물로, 세포벽이 두꺼워 염색이 잘 되지 않고 환경에서의 생존력이 매우 높습니다.
② 결핵균은 주로 폐를 침범하지만 혈류를 통해 전신으로 퍼질 수 있으며, 이는 ‘속립성 결핵’이나 ‘결핵성 뇌막염’ 같은 중증 질환을 유발할 수 있습니다.



(2) 전파 경로
① 결핵은 공기 전파를 통해 감염됩니다. 감염된 사람이 기침, 재채기, 말을 할 때 공기 중으로 결핵균이 배출되며, 이를 주변 사람이 흡입하면 감염될 수 있습니다.
② 하지만 모든 접촉자가 감염되는 것은 아니며, 감염되더라도 면역력이 강하면 발병하지 않고 ‘잠복 결핵 감염’ 상태로 남습니다. 이 상태에서도 나중에 면역력이 떨어지면 활동성 결핵으로 전환될 수 있습니다.
3. 결핵 증상
(1) 폐결핵 주요 증상
① 2주 이상 지속되는 기침
② 객혈(피 섞인 가래)
③ 흉통
④ 체중 감소
⑤ 식욕 부진
⑥ 발열 및 야간 발한



(2) 폐 외 결핵의 증상
① 림프절 결핵: 목이나 겨드랑이 등의 림프절이 붓고 통증이 없음
② 척추 결핵: 요통 및 신경 압박 증상
③ 결핵성 뇌막염: 두통, 발열, 의식저하
④ 장 결핵: 복통, 설사, 체중 감소
4. 결핵 검사 및 진단 방법
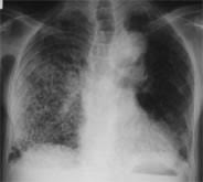
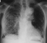
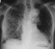
(1) 흉부 X선 촬영
① 폐결핵이 의심되는 경우, 가장 먼저 시행되는 검사입니다.
② 활동성 결핵은 폐의 상부 엽에서 공기 음영 및 공동 형성을 보입니다.



(2) 객담 검사
① 결핵균 검출을 위한 기본적인 검사로, 객담을 현미경으로 관찰하거나 배양합니다.
② PCR(중합효소연쇄반응) 검사는 결핵균의 유전자를 직접 검출하여 빠른 진단이 가능합니다.
폐가 안좋으면 나타나는 증상 10가지
1. 폐가 나빠지는 이유폐는 산소를 들이마시고 이산화탄소를 배출하는 호흡의 핵심 기관으로, 이 기능이 저하되면 전신 건강에 악영향을 미칩니다. 폐 기능이 나빠지는 원인은 다양하며, 일부는
life.learnquest.co.kr
(3) 면역학적 검사
① 투베르쿨린 피부 반응검사(TST): 잠복 결핵 감염 여부 확인
② 인터페론 감마 방출 검사(IGRA): BCG 접종자의 위양성을 줄이기 위해 사용
5. 결핵 검사 비용 및 무료 검사 대상 요약 (2025년 기준, 원 단위)
(1) 검사 비용
| 검 사 명 | 비 용 | 비 고 |
| 흉부 X선 | 1만 ~ 3만 | 보건소는 무료 |
| 객담 도말·배양 | 2만 ~ 5만 | 건강보험 적용 가능 |
| PCR 검사 | 5만 ~ 8만 | 신속 진단용 |
| TST 검사 | 1만 ~ 2만 | 피부 주사 검사 |
| IGRA 검사 | 6만 ~ 10만 | 고정밀 혈액 검사 |
(2) 무료 검사 대상
보건소에서는 다음 대상자에게 무료 검사를 제공합니다.
- 기침 2주 이상 지속되는 사람
- 결핵 환자의 가족 및 접촉자
- 요양시설 입소자, 노숙인 등 고위험군
- 학교, 병원, 군대 등 집단시설 관련자
(3) 진단 후 조치
- 확진 시, 보건소에서 치료비 지원 및 접촉자 조사
- 잠복결핵의 경우, 고위험군은 예방 치료 가능
- 모든 치료는 국가에서 대부분 지원, 부담 적음
6. 결핵 치료와 예방법
(1) 치료 원칙
① 결핵은 항결핵제를 통해 완치가 가능한 질환입니다.
② 표준 치료는 약 6개월간 이루어지며, 초기 2개월은 ‘집중기’, 이후 4개월은 ‘유지기’로 나뉩니다.
③ 주요 약제: 이소니아지드(INH), 리팜피신(RFP), 피라진아마이드(PZA), 에탐부톨(EMB)


(2) 약제 내성 결핵
① 일부 환자는 항생제 내성을 가지는 결핵균에 감염되며, 이를 ‘다제내성 결핵(MDR-TB)’ 또는 ‘광범위내성 결핵(XDR-TB)’이라고 부릅니다.
② 이러한 경우 치료 기간은 18개월 이상이며, 2차 약제를 사용해야 하므로 치료가 더욱 복잡하고 비용이 많이 듭니다.
(3) 예방 전략
① 예방접종: BCG 백신은 생후 4주 이내 접종하며, 소아에서 중증 결핵 예방 효과가 있습니다.
② 잠복 결핵 치료: 면역력이 약한 사람(당뇨병, HIV 감염자 등)은 잠복 결핵이 있으면 치료가 권장됩니다.
③ 감염자 접촉 차단 및 환기 관리: 가정이나 직장에서의 환기와 마스크 착용이 중요합니다.
7. 결핵의 사회적 영향과 예방 정책
(1) 국내 상황
① 한국은 OECD 국가 중 결핵 발생률이 가장 높은 나라 중 하나입니다.
② 고령 인구 증가와 함께 면역력이 약한 계층에서 결핵 발생률이 증가하는 추세입니다.
(2) 국가적 대응
① 국가결핵관리사업은 결핵 환자의 조기 발견과 치료 완료율 향상에 중점을 둡니다.
② 결핵환자에게는 진단과 치료비 일부를 국가가 지원하며, 보건소를 통한 무료 검진도 시행되고 있습니다.
(3) 국제 협력
① 세계보건기구(WHO)는 ‘End TB 전략’을 통해 2035년까지 결핵 발생률을 90% 감소시키는 것을 목표로 하고 있으며, 한국도 이에 참여 중입니다.