
1. 뇌경색이란?
정의: 뇌경색은 뇌로 가는 혈관이 막혀서 뇌 조직에 혈액 공급이 차단되어 발생하는 뇌졸중의 일종입니다. 주로 뇌경색과 허혈성 뇌졸중으로 불립니다.
원인: 혈관 내 혈전(피떡)이나 색전(이물질)이 뇌혈관을 막아 발생합니다. 주요 원인으로는 동맥경화, 심장 질환, 당뇨병, 고혈압, 고지혈증 등이 있습니다.
2. 뇌경색 전조증상
뇌경색은 갑작스럽게 발생할 수 있지만, 일부 환자에게는 전조증상이 나타날 수 있습니다. 주요 전조증상은 다음과 같습니다:
- 일시적인 시력 장애: 한쪽 눈이 흐릿하거나 보이지 않는 증상
- 말더듬이나 발음 장애: 말이 어눌해지거나 발음이 부정확해짐
- 한쪽 팔이나 다리의 무력감 또는 마비: 한쪽 신체 부위의 힘이 빠지거나 감각이 둔해짐
- 어지럼증 또는 균형 감각 상실: 걷기 어려움이나 방향 감각 상실
- 두통: 갑작스럽고 심한 두통이 발생할 수 있음
이러한 증상이 몇 분에서 몇 시간 내에 사라지더라도, 이는 뇌혈관에 문제가 있음을 나타내는 신호일 수 있으므로 즉시 병원을 방문하여 진단을 받는 것이 중요합니다.


3. 뇌경색 진단 방법
뇌경색을 진단하기 위해 다음과 같은 검사가 시행됩니다:
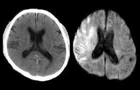
- CT(컴퓨터 단층촬영): 뇌출혈과 뇌경색을 구분하기 위해 사용됩니다.
- MRI(자기공명영상): 뇌의 세밀한 구조를 확인하여 뇌경색의 위치와 범위를 파악합니다.
- 혈액 검사: 당뇨, 고지혈증, 응고 상태 등을 확인합니다.
- 심장 초음파: 심장 질환이 원인인 경우 심장의 상태를 평가합니다.
4. 뇌경색 치료 방법
뇌경색의 치료는 발생 시점과 환자의 상태에 따라 달라집니다:
(1) 급성기 치료
- 혈전 용해제 투여: 혈전을 녹여 혈류를 재개통합니다. 치료는 증상 발생 후 4.5시간 이내에 시작하는 것이 효과적입니다.
- 혈관 내 시술: 혈전이 큰 경우, 혈관 내로 장비를 삽입하여 직접 제거하는 방법이 있습니다.



(2) 재활 치료
- 물리치료: 마비된 신체 부위의 기능 회복을 돕습니다.
- 언어치료: 말하기, 삼키기 등의 기능 회복을 지원합니다.
- 작업치료: 일상생활에서의 독립성을 높이기 위한 훈련을 합니다.
5. 뇌경색 예방 및 관리
뇌경색을 예방하기 위해서는 다음과 같은 생활 습관이 중요합니다:
- 혈압 관리: 고혈압은 뇌경색의 주요 위험 요소이므로 정기적인 혈압 측정과 관리가 필요합니다.
- 당뇨 및 고지혈증 관리: 당뇨와 고지혈증은 혈관 건강에 영향을 미치므로 적절한 약물 치료와 식이 조절이 필요합니다.
- 금연: 흡연은 혈관을 수축시키고 혈전 생성을 촉진하므로 금연이 중요합니다.
- 규칙적인 운동: 일주일에 150분 이상의 중등도 운동을 권장합니다.
- 건강한 식습관: 저염, 저지방, 고섬유질 식단을 유지하고, 과일과 채소를 충분히 섭취합니다.


6. 응급 상황 대처 방법
뇌경색 의심 증상이 나타나면 즉시 119에 연락하여 응급처치를 받는 것이 중요합니다. 증상이 나타난 후 4.5시간 이내에 치료를 시작하면 회복 가능성이 높아집니다.
뇌경색은 빠른 대처가 생명과 직결되는 질환입니다. 전조증상을 무시하지 말고, 의심 증상이 나타나면 즉시 병원을 방문하여 진단과 치료를 받는 것이 중요합니다. 또한, 예방을 위한 생활 습관 개선이 뇌경색 발생을 줄이는 데 큰 도움이 됩니다.
뇌출혈 전조증상, 뇌졸증 뇌출혈 뇌경색 차이
1. 뇌출혈이란?(1) 정의 및 원인뇌출혈은 뇌 속의 혈관이 터지면서 혈액이 뇌조직 안에 고이는 상태를 말합니다. 주로 고혈압, 뇌동맥류 파열, 외상, 혈액응고장애 등이 원인이 됩니다. 뇌 내에 피
life.learnquest.co.kr