반응형
1. 뇌출혈이란?
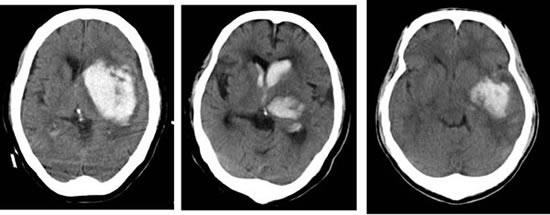
뇌출혈은 뇌혈관이 터지면서 혈액이 뇌 조직이나 뇌를 둘러싼 공간에 쏟아져 나오는 상태를 말합니다. 혈액이 뇌세포를 압박하거나 손상시켜 뇌 기능에 장애를 일으키며, 급성 응급질환에 해당합니다.



2. 뇌출혈 전조증상
뇌출혈은 대개 갑작스럽게 발생하지만, 출혈 전에 다음과 같은 전조증상이 나타나는 경우가 있습니다. 특히 고혈압이나 뇌혈관 질환 병력이 있는 경우, 이런 증상을 절대 간과해서는 안 됩니다.
반응형
① 갑작스럽고 극심한 두통
- 평소와 다르게 순간적으로 심한 두통이 번개처럼 찾아옵니다.
- 주로 지주막하출혈에서 나타나며, “한 번도 느껴보지 못한 두통”으로 표현됩니다.
- 구토나 목의 경직이 함께 나타날 수 있습니다.
② 의식 저하 또는 혼란
- 멍하거나 자꾸 졸려 하고, 주변 상황을 제대로 인식하지 못함
- 말수가 줄거나 반응이 느려지는 경우도 많습니다.
- 심한 경우 갑자기 의식을 잃고 쓰러지기도 합니다.



③ 말이 어눌하거나 잘못된 단어 사용
- 말을 더듬거나 단어가 생각나지 않아 이상한 말을 하게 됩니다.
- 언어 이해나 표현에 모두 문제가 생기는 경우도 있습니다.
④ 팔·다리에 갑작스러운 마비 또는 저림
- 주로 한쪽 팔이나 다리에 힘이 빠지고 움직이기 어려움
- 감각이 없어지거나 저릿한 느낌이 함께 발생하기도 합니다.
- 이러한 편측마비는 중대한 신경학적 경고입니다.
반응형
⑤ 시야 장애
- 한쪽 눈이 안 보이거나, 시야가 흐릿하고 이중으로 보임
- 눈이 한쪽으로 돌아가거나, 시야 일부가 검게 가려지는 현상도 있을 수 있습니다.
⑥ 균형 감각 이상
- 똑바로 걷지 못하거나, 비틀거리며 한쪽으로 넘어짐
- 몸이 한쪽으로 기울거나 중심을 잡지 못하는 증상



⑦ 갑작스러운 구토, 메스꺼움
- 뇌압이 급격히 상승하면서 발생
- 식사와 관계없이 구토가 반복되거나 심한 울렁거림이 있음
⑧ 발작 또는 경련
- 팔이나 다리가 떨리거나, 전신 발작이 나타나기도 함
- 의식을 잃은 상태에서 몸이 뻣뻣해지는 경우가 많음
⚠️주의: 위 증상 중 하나라도 갑작스럽게 발생하면 즉시 119를 통해 병원 이송이 필요합니다. 시간이 생명입니다.
3. 뇌출혈 골든타임
반응형
① 골든타임은 발생 후 3시간 이내
- 뇌출혈의 골든타임은 일반적으로 증상 발생 후 3시간 이내로 알려져 있습니다.
- 이 시간 내에 치료를 시작하면 생존률을 높이고 뇌 손상 및 후유증을 최소화할 수 있습니다.
- 특히 뇌내 출혈이 많아질수록 뇌압 상승으로 인해 뇌 조직이 압박되며, 사망 위험이 커지므로 조기 대응이 중요합니다.
② 1시간 이내 조기 진료가 가장 이상적
- 증상 인지 후 1시간 이내 병원 도착이 가장 바람직하며, CT, MRI 검사로 즉시 진단 후 치료 결정이 이루어져야 합니다.
- 일부 지주막하출혈이나 경막외출혈은 응급 수술이 필요한 상황으로, 빠른 판단이 생사를 가릅니다.
3. 뇌출혈 시 응급대응 요령
- 증상 발생 즉시 119 신고
- 환자를 누운 상태로 안정되게 유지, 고개는 옆으로 돌려 구토 시 기도 확보
- 음료수나 약물 절대 먹이지 않기
- 옷이나 벨트를 느슨하게 해주고, 기도를 확보
결론
뇌출혈은 경고 없이 찾아오지만, 전조증상을 인지하고 골든타임을 지키는 것이 생명을 살리는 핵심입니다.
두통, 마비, 언어 이상, 시야 장애 등 평소와 다른 신경학적 증상이 갑자기 나타났다면, 즉시 응급실로 이송되어야 합니다.
특히 고혈압, 당뇨, 고지혈증, 심혈관 질환 등의 기저질환이 있다면 더욱 철저한 관리와 경계가 필요합니다.
반응형