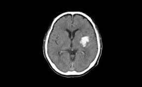
1. 뇌출혈이란?



(1) 정의 및 원인
뇌출혈은 뇌 속의 혈관이 터지면서 혈액이 뇌조직 안에 고이는 상태를 말합니다. 주로 고혈압, 뇌동맥류 파열, 외상, 혈액응고장애 등이 원인이 됩니다. 뇌 내에 피가 고이면 뇌조직이 압박되거나 손상되어 심각한 장애를 일으킬 수 있습니다.
(2) 주요 종류
- 뇌내출혈(Intracerebral Hemorrhage): 뇌 실질 내에서 출혈 발생
- 지주막하출혈(Subarachnoid Hemorrhage): 지주막 아래 공간에 혈액 고임
- 경막하출혈(Subdural Hemorrhage): 뇌 경막 아래 출혈
- 경막외출혈(Epidural Hemorrhage): 경막 외부, 주로 외상성 출혈
2. 뇌출혈 전조증상



뇌출혈은 갑작스러운 출혈이 많지만, 일부 환자에서는 수시간~수일 전 경고신호가 나타나기도 합니다. 이런 전조증상을 인지하고 빠르게 대응하면 생명을 구하거나 후유증을 줄일 수 있습니다.
(1) 갑작스러운 심한 두통
- 갑작스럽고 참을 수 없는 강한 통증이 머리 전체 또는 특정 부위에 발생
- '망치로 얻어맞은 듯한 두통', '일생일대의 가장 심한 두통'이라고 호소하는 경우 많음
- 특히 지주막하출혈에서 흔하게 나타남
(2) 시야 흐림 또는 복시
- 한쪽 또는 양쪽 시야가 흐리거나 사물이 두 개로 보임(복시)
- 출혈로 인해 시각 신경 통로가 압박받거나 뇌간 기능 이상 발생 시 나타남
(3) 어지럼증 및 균형감각 저하
- 평형 유지 어려움, 방향 감각 상실
- 단순한 어지럼과는 달리 구토, 시야 회전감, 쓰러짐 동반 가능
(4) 신체 마비 혹은 감각 저하
- 한쪽 팔이나 다리에 갑작스러운 무력감 또는 저림, 감각 소실
- 손발이 말을 듣지 않거나 컵을 놓치는 증상 등으로 나타남



(5) 언어 이상
- 말을 할 수는 있지만 문장을 구성하거나 단어 선택이 어눌해지는 현상
- 또는 남의 말을 이해하지 못하거나 이상한 말을 하는 등 언어 이해력 저하
(6) 의식 혼미 및 졸림
- 말수가 줄고 졸리거나 멍한 상태, 집중력 저하
- 심한 경우 단시간 내 의식 소실 또는 혼수 상태
심혈관 질환 전조증상
1. 심혈관 질환이란?심혈관 질환은 심장과 혈관에 생기는 질환을 통칭하는 말로, 대표적으로 협심증, 심근경색, 심부전, 부정맥, 고혈압성 심장질환, 뇌졸중 등이 포함됩니다. 이들 질환은 급성
life.learnquest.co.kr
(7) 경련 또는 발작
- 출혈 부위에 따라 간헐적인 팔, 다리의 떨림 또는 전신 경련이 발생할 수 있음
- 이전에 간질 병력이 없던 사람에서 새롭게 나타나면 주의가 필요
3. 뇌졸증, 뇌출혈, 뇌경색 차이
뇌출혈과 뇌경색은 모두 뇌졸중의 한 종류이며 증상이 유사하지만, 치료 방법과 예후가 다릅니다. 다음은 뇌졸중, 뇌출혈, 뇌경색의 차이점을 비교한 표입니다.
| 구분 | 뇌졸증 | 뇌출혈 | 뇌경색 |
| 정의 | 뇌혈관 문제로 뇌기능에 급격한 장애가 생기는 질환 전체 | 뇌혈관이 터져 뇌에 출혈이 생기는 상태 | 뇌혈관이 막혀 혈류 공급이 차단되는 상태 |
| 유형 | 뇌출혈 + 뇌경색 포함 | 뇌졸중의 한 유형 | 뇌졸중의 한 유형 |
| 원인 | 혈관 파열 또는 혈관 폐쇄 | 고혈압, 외상, 동맥류 파열 등 | 혈전(피떡), 색전(부유물), 동맥경화 등 |
| 발병 속도 | 대부분 급성 | 매우 급격함 | 비교적 서서히 혹은 급격하게 진행될 수 있음 |
| 주요 증상 | 마비, 언어장애, 시야이상, 의식저하 등 공통 | 극심한 두통, 구토, 의식 소실, 마비 등 | 마비, 언어장애, 시야 이상, 어지럼증 등 |
| 두통 유무 | 상황에 따라 다름 | 매우 심한 두통 발생 | 두통은 드물거나 경미함 |
| 치료 방법 | 증상과 원인에 따라 다름 | 수술, 혈압 조절, 뇌압 관리 등 | 혈전용해제 투여, 혈관 재개통 치료 등 |
| 예후 | 원인과 치료 시기에 따라 다양 | 예후가 더 나쁜 편, 후유증 가능성 큼 | 상대적으로 예후가 나은 경우 많음 |
| 예방 방법 | 고혈압·당뇨·고지혈증 관리, 생활습관 개선 | 고혈압 조절, 음주·흡연 자제 | 혈관 건강 관리, 항응고제 복용 등 |
※ 요약
- 뇌졸중은 뇌출혈과 뇌경색을 모두 포함하는 개념입니다.
- 뇌출혈은 혈관이 터지는 병, 뇌경색은 혈관이 막히는 병입니다.
- 두 질환 모두 신속한 진단과 치료가 중요하며, 예방을 위해서는 생활습관 관리가 필수입니다.
4. 뇌출혈 위험요인과 예방
(1) 고혈압 관리
고혈압은 뇌출혈의 가장 큰 위험 인자입니다.
- 혈압이 140/90 mmHg 이상일 경우 정기적인 관리 필요
- 약물 복용, 저염식, 운동 등으로 조절 가능
(2) 음주 및 흡연
과도한 음주는 혈압 상승을 유발하며, 흡연은 혈관 벽을 약하게 만들어 출혈 가능성을 높입니다.



(3) 고령자 및 가족력
60세 이상 고령자, 뇌졸중 가족력이 있는 경우 위험성이 증가합니다.
유전적 요인이 영향을 미칠 수 있으므로 정기 건강검진이 권장됩니다.
(4) 뇌동맥류 및 혈관 기형
MRI, CT 등 영상검사를 통해 조기에 발견할 수 있으며, 발견 시 수술 또는 코일 색전술 등 예방적 조치를 할 수 있습니다.
5. 응급 시 대응 요령
(1) 증상 발생 즉시 119
의심 증상이 있을 경우 본인이 직접 병원에 가기보다는 즉시 119에 신고하고 구급차를 이용해야 합니다.
이송 중에도 의료진이 증상 관찰 및 초기 처치를 시행할 수 있습니다.
(2) 증상 기록 및 경과 관찰
의식이 있는 경우, 두통 발생 시간, 마비 발생 시점, 언어 변화 시간 등을 정확히 기록하여 병원에 전달하는 것이 중요합니다.
이 정보는 향후 진단 및 치료 결정에 핵심 역할을 합니다.
6. 뇌출혈 예후 및 회복
(1) 회복 가능성
출혈량과 위치, 초기 대응 시점에 따라 회복 가능성이 크게 달라집니다.
뇌간이나 대뇌 심부에 출혈이 생기면 생존율이 낮고, 운동 피질 부위에 출혈이 생기면 마비가 남을 수 있습니다.
(2) 재활치료의 중요성
초기 수술이나 약물치료 후에도 재활치료가 필수적입니다.
물리치료, 작업치료, 언어치료 등을 통해 후유증을 최소화할 수 있으며, 회복 속도는 개인마다 다릅니다.
뇌출혈은 예고 없이 찾아오지만, 그 전에 보이는 전조증상들을 간과하지 않는 것이 가장 중요한 예방 수단입니다.
특히 갑작스러운 두통, 언어장애, 시야 이상, 신체 마비 등은 단순 피로나 스트레스로 치부하지 말고, 반드시 의심하고 의료기관을 방문해야 합니다.
조기에 발견하고 신속하게 대응하면 생명을 구하고 후유증을 줄일 수 있습니다.