1. 다낭성난소증후군이란?
다낭성난소증후군(PCOS)은 가임기 여성에게 흔히 나타나는 내분비 질환 중 하나로, 여성 호르몬 불균형 및 배란 장애를 주요 특징으로 합니다. 난소에 작은 물혹들이 여러 개 생기며, 이로 인해 배란이 제대로 이루어지지 않고 월경 불순, 여드름, 다모증, 불임 등의 다양한 증상이 동반될 수 있습니다.
전체 가임기 여성의 약 5~10%가 이 질환을 가지고 있으며, 조기에 발견하여 적절히 관리하지 않으면 대사 질환이나 심혈관 질환의 위험이 증가할 수 있습니다.



2. 다낭성난소증후군 원인
정확한 원인은 아직 명확히 밝혀지지 않았지만, 다음과 같은 요인이 복합적으로 작용하는 것으로 알려져 있습니다.
① 인슐린 저항성
다낭성난소증후군 여성의 많은 수가 인슐린 저항성을 가지고 있습니다. 이는 체내 인슐린이 제대로 작용하지 않아 혈당은 높아지고, 인슐린 수치도 과도하게 증가하여 난소에서 남성 호르몬(안드로겐)이 과다 분비되는 결과를 초래합니다.



② 호르몬 불균형
성호르몬 중 LH(황체형성호르몬) 수치가 상대적으로 높고 FSH(난포자극호르몬) 수치가 낮아 배란이 제대로 되지 않으며, 남성 호르몬이 상대적으로 많아집니다.
③ 유전적 요인
가족 중 다낭성난소증후군이나 당뇨병, 인슐린 저항성이 있는 경우 발생 위험이 증가합니다.
3. 다낭성난소증후군 주요 증상
다낭성난소증후군은 다양한 증상으로 나타나며, 사람마다 증상의 정도와 양상이 다를 수 있습니다.
① 월경 불순
3개월 이상 무월경이 지속되거나, 월경 주기가 불규칙한 경우가 많습니다. 배란이 자주 일어나지 않기 때문에 발생합니다.
② 여드름과 지성 피부
호르몬 이상으로 인해 피지 분비가 증가하고, 여드름이 얼굴뿐 아니라 등이나 가슴 등에도 생길 수 있습니다.



③ 다모증
팔, 다리, 복부, 얼굴 등 원래 털이 많지 않아야 할 부위에 굵고 짙은 털이 자라는 현상이 나타납니다.
④ 탈모
남성형 탈모처럼 앞머리나 정수리 부위에서 탈모가 진행되기도 합니다.
⑤ 체중 증가
특히 복부 비만이 흔하며, 체중 증가와 인슐린 저항성은 서로 영향을 주어 증상을 악화시킵니다.
⑥ 난임
배란이 불규칙하거나 중단되어 임신이 어려운 경우가 많습니다.
4. 다낭성난소증후군 진단 방법
진단은 보통 다음 세 가지 조건 중 두 가지 이상을 만족할 경우 내려집니다(Rotterdam 기준).
① 배란 장애
6~8주 이상 무월경 또는 불규칙한 생리 주기
② 고안드로겐혈증
혈중 남성호르몬 수치 증가 혹은 다모증, 여드름 등의 임상 증상
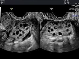
③ 다낭성 난소
초음파에서 난소에 지름 2~9mm의 난포가 12개 이상 관찰되거나, 난소의 크기가 10ml 이상인 경우
기초 혈액검사(호르몬, 혈당, 인슐린 수치 등)와 함께 복부 또는 질식 초음파 검사를 병행합니다.
5. 다낭성난소증후군 치료 방법
치료는 증상에 따라 다르며, 생활습관 개선과 약물치료가 병행됩니다.
① 생리 불순 조절
경구피임약을 이용해 여성호르몬 균형을 조절하며, 규칙적인 월경을 유도합니다.
② 여드름, 다모증 개선
호르몬 억제제(항안드로겐제)나 경구피임약을 통해 남성 호르몬의 영향을 줄여 증상을 완화합니다.
③ 인슐린 저항성 개선
메트포르민 등 혈당 강하제 사용을 통해 인슐린 저항성을 낮추고, 호르몬 균형을 맞춥니다.
④ 임신 계획 시
배란 유도를 위한 클로미펜, 레트로졸 등의 약물을 사용하고, 필요한 경우 난포 추적 및 인공수정 등의 치료가 병행될 수 있습니다.
6. 다낭성난소증후군과 합병증
장기간 방치할 경우 다음과 같은 대사성 합병증 위험이 증가합니다.
① 제2형 당뇨병
인슐린 저항성으로 인해 당 대사가 잘 되지 않아 당뇨로 진행될 수 있습니다.
② 고지혈증 및 심혈관질환
콜레스테롤 수치가 높고, 고혈압이 동반될 가능성이 있습니다.



③ 자궁내막증식증 및 자궁내막암
배란이 되지 않아 자궁내막이 지속적으로 자극받는 경우 자궁내막 이상 성장 및 암으로 이어질 수 있습니다.
④ 우울감과 불안
호르몬 변화로 인한 정서적 불안과 함께, 체형 변화나 외모 변화로 인한 스트레스가 동반될 수 있습니다.
7. 다낭성난소증후군에 좋은 음식
(1) 저혈당지수(GI) 식품
혈당을 급격히 올리지 않는 저GI 식품은 인슐린 분비를 안정화시켜 PCOS 증상 완화에 도움을 줍니다.
- 현미, 귀리, 통밀빵, 퀴노아
- 고구마, 강낭콩, 렌틸콩, 병아리콩
- 사과, 배, 블루베리, 체리 등 껍질 있는 과일



(2) 식이섬유가 풍부한 음식
식이섬유는 혈당 상승을 완만하게 하고 포만감을 오래 유지시켜 체중 조절에도 유리합니다.
- 채소류: 브로콜리, 시금치, 양배추, 아보카도
- 잡곡류: 귀리, 보리, 통밀
- 콩류: 검정콩, 병아리콩, 완두콩
(3) 건강한 지방
오메가-3 지방산과 같은 좋은 지방은 염증을 줄이고, 호르몬 균형을 돕습니다.
- 연어, 고등어, 참치 등 지방이 많은 생선
- 아보카도, 견과류(호두, 아몬드, 캐슈넛)
- 올리브유, 들기름, 아마씨유
(4) 항염증 식품
다낭성난소증후군은 염증 상태와도 관련이 있으므로, 항산화 성분이 풍부한 식품을 섭취하는 것이 좋습니다.
- 베리류: 블루베리, 딸기, 라즈베리
- 녹황색 채소: 케일, 브로콜리, 청경채
- 강황, 생강, 마늘
(5) 단백질 위주의 식단
단백질은 혈당을 안정적으로 유지하고 근육량을 유지해 기초대사량을 높이는 데 도움을 줍니다.
- 닭가슴살, 두부, 달걀, 생선, 그릭요거트
- 저지방 유제품 또는 식물성 단백질 제품
(6) 피해야 할 음식
다낭성난소증후군 관리에서 중요한 것은 좋은 음식뿐 아니라 증상을 악화시킬 수 있는 식품을 피하는 것입니다.



- 정제 탄수화물: 흰쌀, 흰빵, 설탕이 많이 든 음식
- 가공식품: 과자, 인스턴트 식품, 가공육
- 설탕 음료: 탄산음료, 과일주스, 설탕 커피
- 과도한 포화지방: 튀김류, 햄버거, 소시지, 치킨 등
- 과도한 카페인과 알코올: 호르몬 불균형을 악화시킬 수 있음
8. 생활습관 개선과 관리법
다낭성난소증후군의 가장 기본적인 관리법은 체중 감량과 건강한 생활습관 유지입니다.
① 규칙적인 운동
주 3~5회, 30분 이상 유산소 운동과 근력운동을 병행하면 인슐린 감수성을 높이고 체중을 줄이는 데 효과적입니다.
② 식이 조절
정제 탄수화물, 당류 섭취를 줄이고 식이섬유가 풍부한 채소, 통곡물, 저지방 단백질 위주의 식단을 권장합니다.
③ 스트레스 관리
만성 스트레스는 호르몬 불균형을 악화시키므로, 명상, 수면 개선, 취미 생활 등을 통해 정서적 안정이 필요합니다.
④ 정기적 진료
호르몬 변화 및 대사 이상을 주기적으로 확인하고, 필요시 약물 복용을 조절해야 합니다.