1. 신장암이란?
신장암은 신장에서 발생하는 악성 종양으로, 주로 신장 실질 조직에서 발생하는 신세포암(신장세포암)이 가장 흔합니다. 전체 신장암의 약 90% 이상을 차지하며, 나머지는 신우에서 발생하는 이행상피세포암 등입니다. 신장은 혈액 속 노폐물을 걸러내고 소변을 생성하는 중요한 장기로, 이곳에 암이 발생하면 소변 배출 기능, 전신 대사 조절, 호르몬 분비 기능에도 영향을 줄 수 있습니다.



2. 신장암 원인과 위험요인
① 흡연
흡연은 신장암의 주요 위험인자입니다. 흡연자는 비흡연자에 비해 신장암 발생 위험이 약 2배 높습니다.
② 비만
체지방이 많으면 호르몬 대사에 변화가 생겨 암세포 성장 환경이 조성됩니다. 비만은 특히 여성 신장암의 중요한 위험요소입니다.
③ 고혈압
고혈압 자체뿐 아니라 고혈압 치료제도 신장에 영향을 줄 수 있으며, 여러 연구에서 고혈압 환자에게서 신장암 발생률이 높게 나타났습니다.



④ 가족력
가족 중 신장암 환자가 있는 경우 위험도가 증가합니다. 특히 유전성 신장암 증후군이 있는 경우 조기 검진이 필요합니다.
⑤ 장기간의 투석 치료
만성 신부전으로 인해 장기간 투석을 받는 환자는 신장 낭종 및 신장암 발생률이 높습니다.
신장이 안좋으면 나타나는 증상 10가지
1. 신장이 나빠지는 이유신장은 체내 노폐물과 여분의 수분을 걸러내고, 전해질과 산염기 균형을 유지하며, 혈압과 조혈, 뼈 건강까지 조절하는 중요한 기관입니다. 하지만 다양한 원인으로 인
life.learnquest.co.kr
⑥ 산업 화학물질 노출
석유, 석탄, 중금속, 특정 유기용제 등에 장기간 노출된 직업군에서 신장암 위험이 증가할 수 있습니다.
3. 신장암 초기 증상
① 무통성 혈뇨
가장 흔한 증상이며, 소변에 피가 섞여 나옵니다. 통증 없이 나타나는 경우가 많아 환자들이 간과하기 쉽습니다.
② 옆구리나 허리 통증
신장 부위에서 둔한 통증이나 불쾌감이 느껴질 수 있으며, 종양이 커지면 통증이 지속되기도 합니다.
③ 복부 또는 옆구리 덩어리
복부나 측면에서 만져지는 딱딱한 종괴가 있을 수 있으며, 이는 비교적 진행된 상태를 의미할 수 있습니다.



④ 체중 감소 및 식욕 부진
원인 모를 체중 감소, 식욕 저하, 피로감이 동반될 수 있습니다.
⑤ 발열 및 야간 발한
염증성 반응에 의해 체온이 자주 오르거나, 밤에 땀을 많이 흘리는 증상이 나타나기도 합니다.
⑥ 빈혈 또는 고혈압
신장암은 조혈 기능과 혈압 조절 기능을 방해할 수 있어 빈혈이나 고혈압이 생기기도 합니다.
4. 신장암 초기 증상이 놓치기 쉬운 이유
① 증상이 경미하거나 없음
많은 환자들이 초기에는 무증상이거나 증상이 경미해 병원을 찾지 않습니다. 혈뇨가 한 번 있다가 사라지는 등 일시적 증상도 많습니다.
② 다른 질환과의 혼동
옆구리 통증은 요로결석이나 근육통과 헷갈릴 수 있고, 체중 감소나 피로는 스트레스, 과로와 연관지어 넘기는 경우가 많습니다.
③ 건강검진 외 진단 어려움
무증상인 경우, 대부분은 건강검진 중 복부 초음파나 CT에서 우연히 발견됩니다. 따라서 정기검진이 중요합니다.
5. 신장암 의심 시 받아야 할 검사
① 복부 초음파 검사
간단하면서도 비침습적인 검사로, 신장의 종괴 여부를 확인할 수 있습니다.
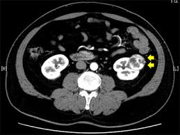
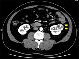
② 복부 CT(컴퓨터 단층촬영)
신장 종양의 위치, 크기, 혈관 침범 여부 등을 정확히 평가할 수 있어 진단과 치료 계획에 필수적입니다.



③ 소변검사
혈뇨의 유무, 감염 여부, 비정상적인 세포 유무 등을 평가합니다.
④ 혈액검사
빈혈, 신장기능, 전신 염증 반응 등을 확인할 수 있으며, 암이 진행되면 이상 소견이 나타날 수 있습니다.
⑤ 조직검사 (필요 시)
전이성 신장암이 의심되는 경우, 생검을 통해 암의 정확한 종류를 확인합니다. 조기에는 생검 없이 수술을 우선하는 경우도 많습니다.
6. 신장암 조기 발견을 위한 생활 수칙
① 정기적인 건강검진 받기
40세 이상 또는 위험요인을 가진 사람은 1~2년에 한 번 복부 초음파나 CT 검사를 받는 것이 좋습니다.
② 금연하기
흡연은 신장암뿐 아니라 여러 암의 위험요인이므로 반드시 금연이 필요합니다.
③ 체중 조절 및 운동
적정 체중을 유지하고, 규칙적인 운동을 통해 전반적인 건강을 관리하는 것이 중요합니다.



④ 고혈압 관리
정기적인 혈압 측정과 적절한 치료로 고혈압을 조절하면 신장 손상과 신장암의 위험을 줄일 수 있습니다.
⑤ 약물 및 화학물질 노출 주의
특정 진통제의 장기복용이나 산업용 화학물질에의 노출은 피해야 하며, 작업 시 보호장비를 착용해야 합니다.
⑥ 헬스케어 앱이나 노트를 통한 증상 기록
혈뇨, 복통, 체중 변화 등을 기록해 이상이 반복되거나 악화되면 바로 병원을 방문할 수 있도록 합니다.
마무리
신장암은 조기 진단이 어렵지만, 건강검진의 발달로 우연히 조기에 발견되는 경우가 늘고 있습니다. 하지만 흡연, 비만, 고혈압 같은 위험요인을 가진 사람은 증상이 없어도 정기적인 검진과 생활 습관 관리가 필요합니다. 위와 같은 정보를 잘 숙지하고 실천하면, 신장암 예방과 조기 발견에 큰 도움이 될 수 있습니다.